Clinical Video Tips

Back to cases & tips

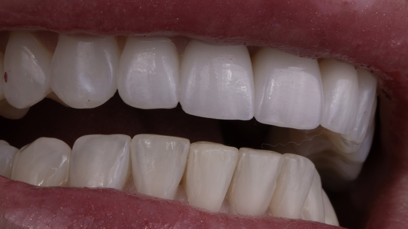
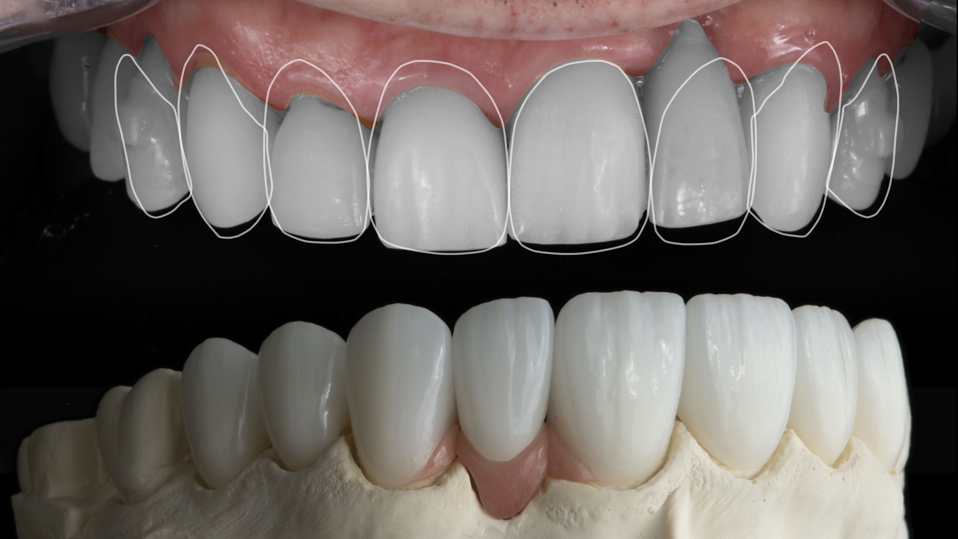
Implant Restoration Alongside a Veneer

This tip illustrates a single implant restoration alongside veneers and the adjustment of width and length proportions to create a balanced and harmonious appearance.

Related Videos:

Achieve Consistent Color

Achieve Consistent Color

Get Started
Minimally Invasive Veneer Prep

Minimally Invasive Veneer Prep

Get Started
Planning for Four Restorations

Planning for Four Restorations

Get Started
Color Consistency

Color Consistency

Get Started
Ultra-Thin Veneers

Ultra-Thin Veneers

Get Started
Planning for Four Veneers

Planning for Four Veneers

Get Started
Unmasking Tooth Transformations

Unmasking Tooth Transformations

Get Started
Veneer Enhancement Opportunities with Aligners

Veneer Enhancement Opportunities with Aligners

Get Started
Implant Abutment Integration in Smile Makeover

Implant Abutment Integration in Smile Makeover

Get Started
Pink Porcelain Placement

Pink Porcelain Placement

Get Started
Single-Tooth Restorations: Overcoming Challenges

Single-Tooth Restorations: Overcoming Challenges

Get Started
Managing Esthetic Discrepancies

Managing Esthetic Discrepancies

Get Started
Addressing Two Teeth

Addressing Two Teeth

Get Started
Managing Undercuts in Veneer Preparations

Managing Undercuts in Veneer Preparations

Get Started