Clinical Video Tips
Back to cases & tips
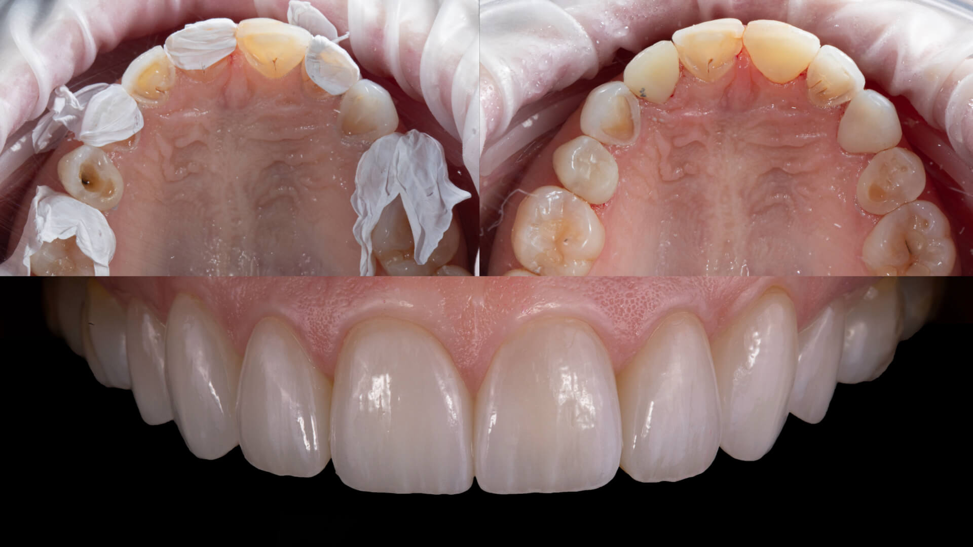
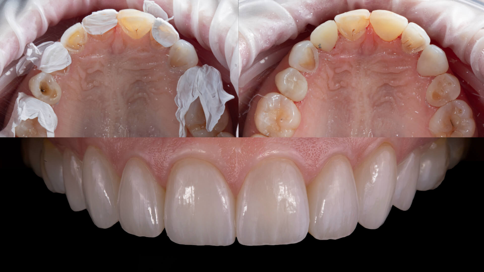
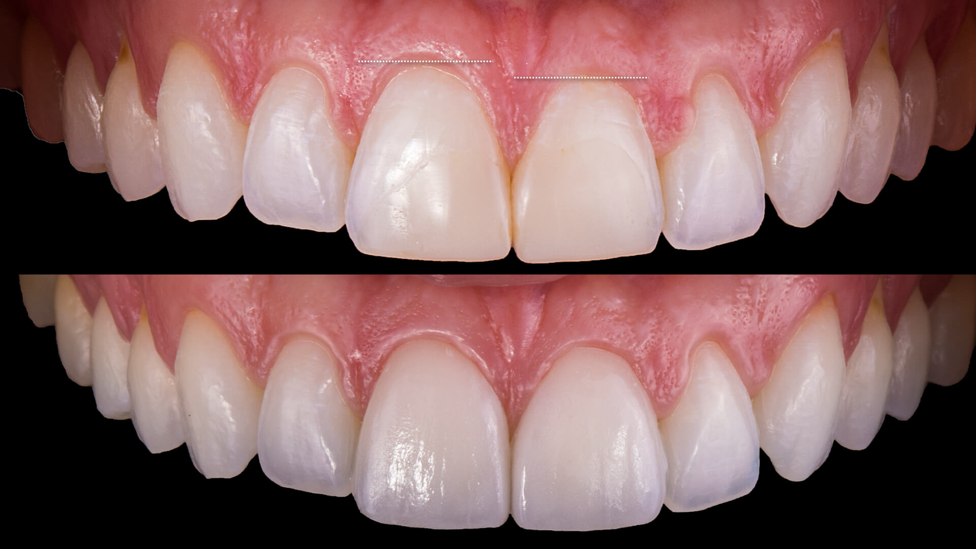
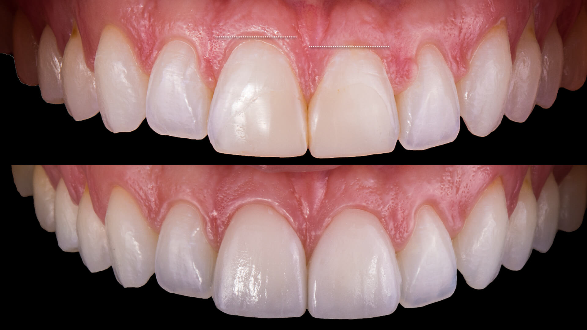
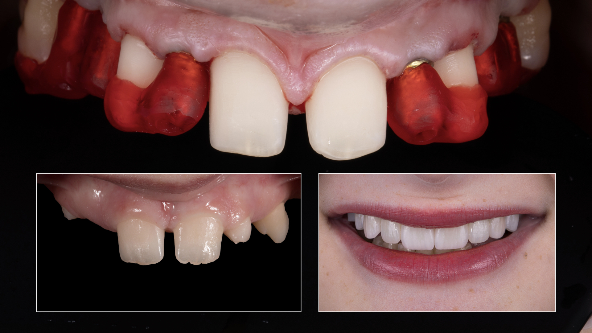
Orthodontic-Restorative Synergy in Retreatment
Understanding the strategic integration of orthodontic and restorative methods is essential for improving occlusion and optimizing airway space in this case, which involves retreating existing dental treatments.










