Clinical Video Tips
Back to cases & tips
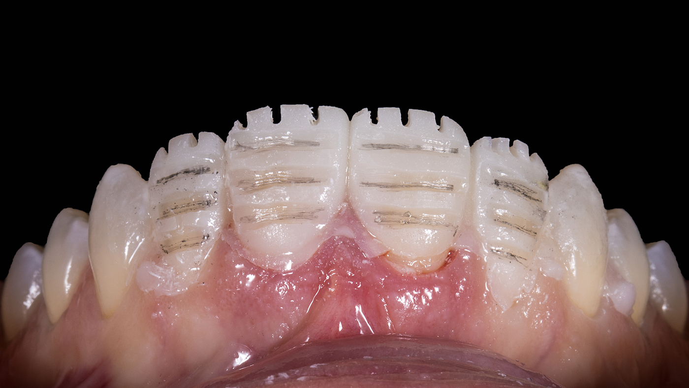
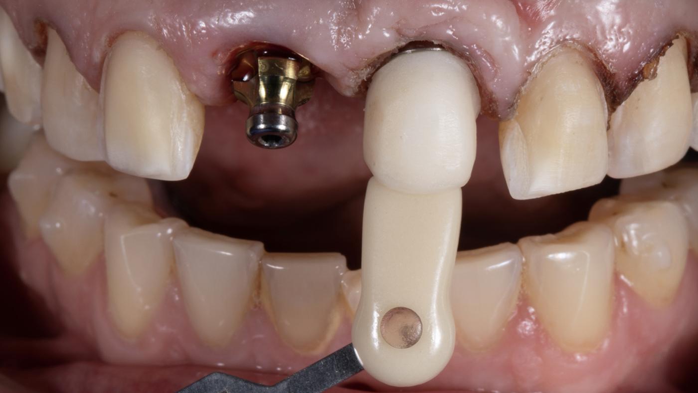
Perfecting Alignment with Pink and White Esthetics
Balancing pink and white esthetics can effectively correct a canted smile. In this case, involving an odd number of teeth, enhancing the alignment by manipulating these parameters is essential.

























