Clinical Video Tips
Back to cases & tips
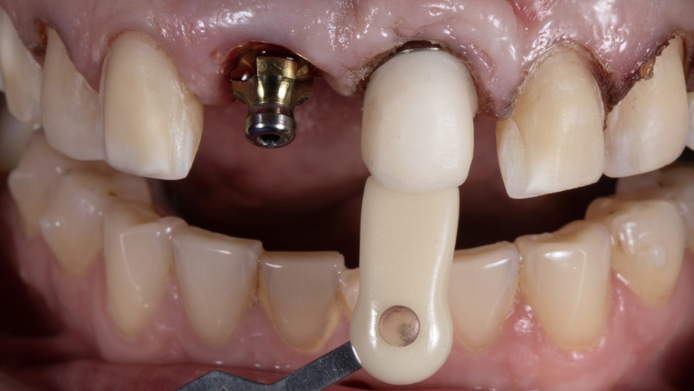
Single-Tooth Restorations: Overcoming Challenges
Single-tooth restorations are among the most challenging clinical cases, especially when extraction and implant placement are required. Key considerations such as tissue height, scallop, symmetry, and precise tooth contours, color, and characterization must all be carefully managed.






