Clinical Video Tips

Back to cases & tips

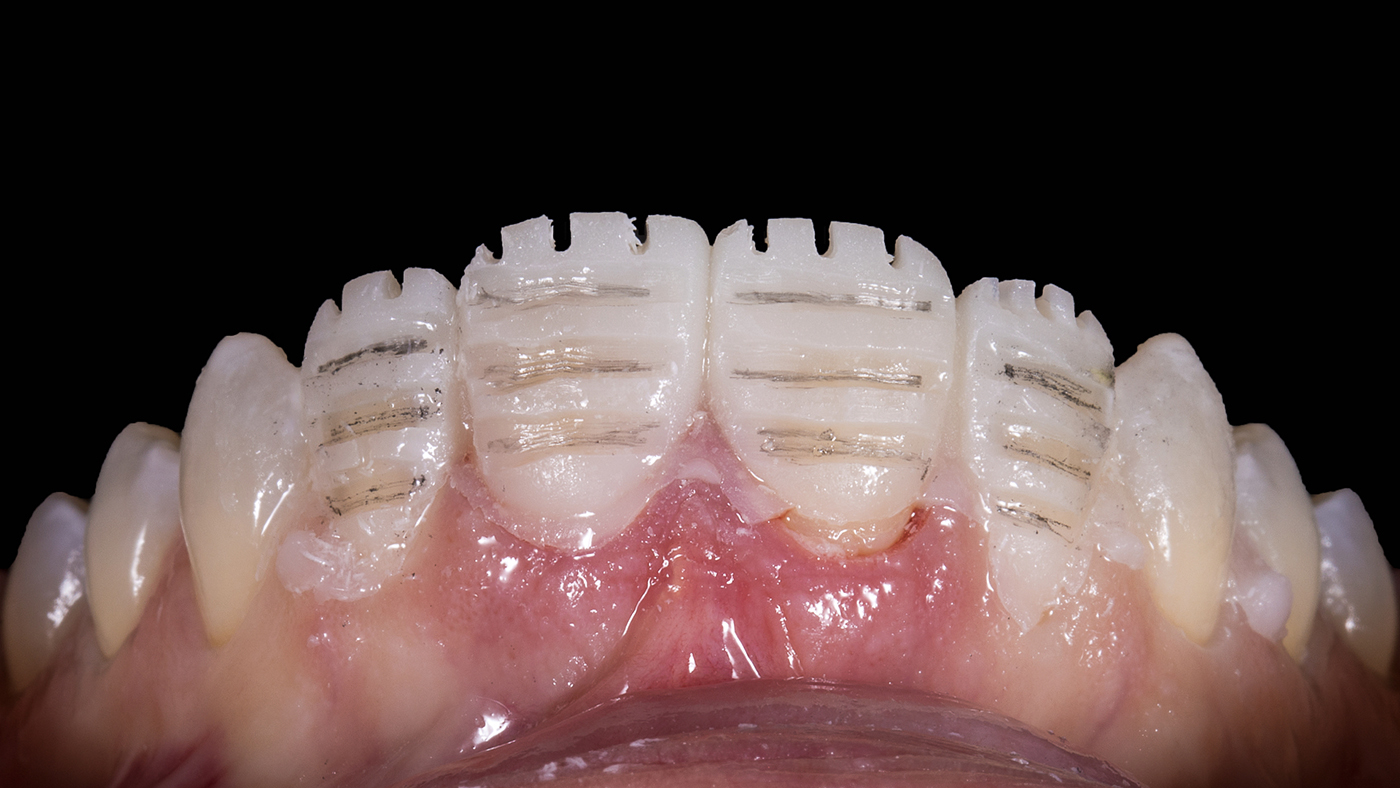
Unmasking Tooth Transformations

This tip demonstrates how the removal of old restorations can unveil less-than-ideal tooth positions and preparations and offers guidance on ensuring a harmonious result.

Related Videos:

Planning for Four Restorations

Planning for Four Restorations

Get Started
Color Consistency

Color Consistency

Get Started
Ultra-Thin Veneers

Ultra-Thin Veneers

Get Started
Planning for Four Veneers

Planning for Four Veneers

Get Started
Implant Restoration Alongside a Veneer

Implant Restoration Alongside a Veneer

Get Started
Addressing Two Teeth

Addressing Two Teeth

Get Started
Managing Undercuts in Veneer Preparations

Managing Undercuts in Veneer Preparations

Get Started